Arneth Count for Neutrophils: Principle, Procedure, and Clinical Significance
Arneth Count classifies neutrophils (N1–N5) by nuclear lobes. Detects left shift (infections) vs. right shift (anemia). Normal ranges for clinicians.

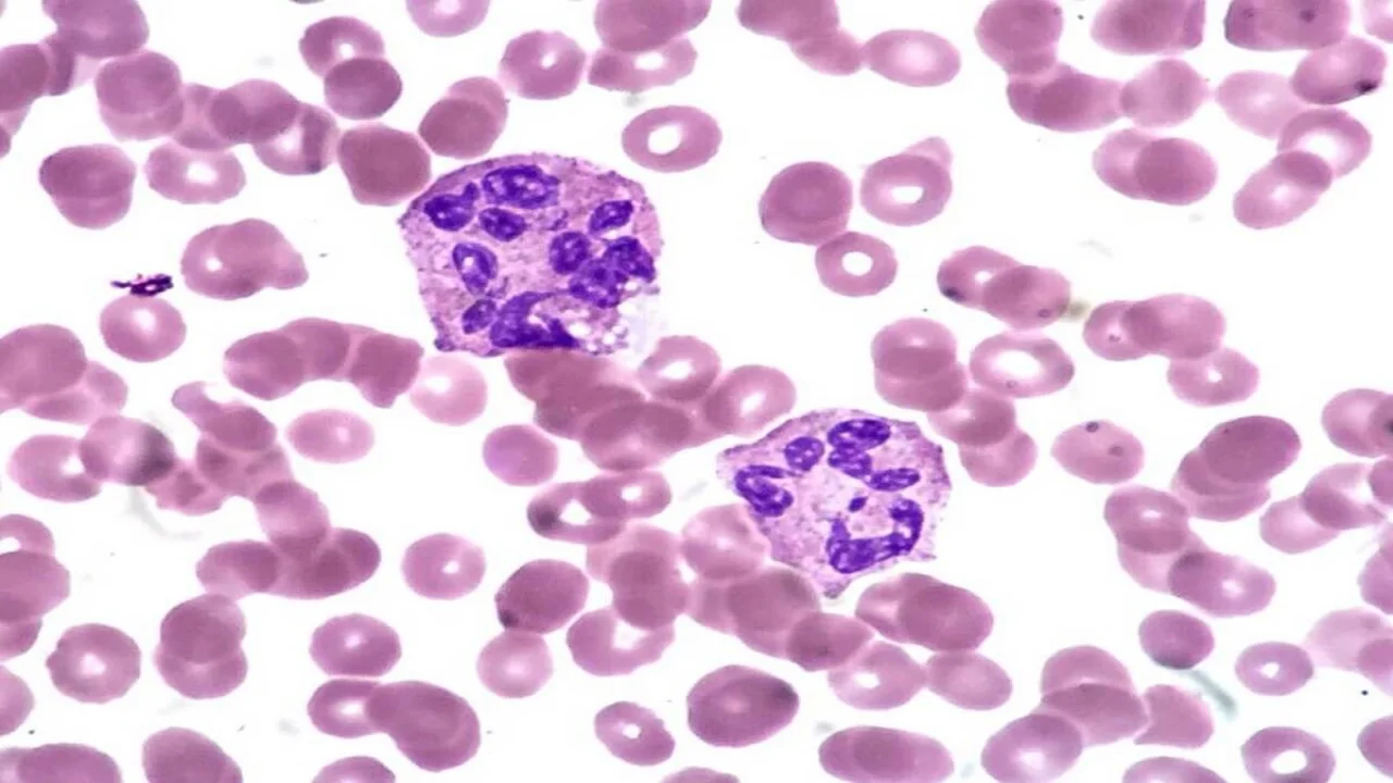
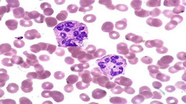
Arneth count, developed by Joseph Arneth, is a hematological method that classifies neutrophils into five stages (N1–N5) based on their nuclear lobe count. It determines the percentage of neutrophils with one (N1), two (N2), three (N3), four (N4), or five or more lobes (N5), reflecting their maturity. On the basis of nuclear lobes, neutrophils are grouped into stages N1, N2, N3, N4, and N5. A left shift (↑N1–N3) indicates infections (e.g., sepsis) or inflammation due to immature neutrophils, while a right shift (↑N4–N5) signals anemia (e.g., vitamin B12 deficiency) caused by excess mature cells.
Stage | Nuclear Lobes | Diagram | Normal Range |
---|---|---|---|
Stage I (N1) | Nucleus is unilobed, typically appearing C- or U-shaped. | ![]() |
2–5% |
Stage II (N2) | Nucleus is bilobed, with two lobes separated by slender strands. | ![]() |
20–30% |
Stage III (N3) | Nucleus is trilobed, featuring three lobes divided by fine strands. | ![]() |
40–50% |
Stage IV (N4) | Nucleus is tetralobed, with four lobes separated by thin strands. | ![]() |
10–15% |
Stage V (N5) | Nucleus is pentalobed, with five distinct lobes and delicate intervening strands. | ![]() |
2–5% |
Principle of Arneth Count
Neutrophils mature by increasing their nuclear segmentation. Younger cells (N1–N3) have fewer lobes, while older ones (N4–N5) are multilobed. Technicians examine Leishman/Wright-stained blood smears under oil immersion (100x). At least 100 neutrophils are counted in a zigzag pattern. If lobes are ambiguous, secondary markers are used:
- Granule density: Younger cells have more granules.
- Cell size: Neutrophils shrink with age.
Procedure
- Prepare a thin peripheral blood smear and stain with Leishman or Wright’s stain.
- Use low-power magnification to confirm even cell distribution.
- Under oil immersion (100x), count at least 100 neutrophils in a zigzag pattern and classify them into five stages (N1–N5) based on the number of nuclear lobes.
- Enter the counts in a table, calculate the percentage distribution for each stage, and optionally plot a graph to visualize maturation trends.

Clinical Significance of Arneth Count
The Arneth count is a hematological test that evaluates neutrophil maturity by categorizing cells according to the number of nuclear lobes. This assessment indirectly reflects bone marrow activity by distinguishing between younger and older neutrophils in circulation.
Shift to Left (Regenerative Shift)
When over 80% of neutrophils are classified as N1, N2, or N3 (indicating fewer lobes), it signifies a left shift.
- Indicates: Increased neutrophil production bone marrow hyperactivity (young neutrophils released early).
- Causes:
- Acute infections (e.g., pneumonia, sepsis)
- Tuberculosis
- Inflammation, trauma, or hemorrhage
- Exposure to irradiation
Shift to Right (Degenerative Shift)
When more than 20% of neutrophils fall into stages N4 and N5 (indicating more lobes), it denotes a right shift.
- Indicates: Decreased neutrophil production and bone marrow hypoactivity (prolonged neutrophil maturation).
- Causes:
- Megaloblastic anemia (B12/folate deficiency)
- Aplastic anemia
- Septicemia
- Chronic kidney/liver disease
- Uremia
FAQs
What is the Arneth count?
What is the Cooke-Arneth count?
Arneth count shift to the left vs. shift to the right.
The information on this page is peer reviewed by a qualified editorial review board member. Learn more about us and our editorial process.
Last reviewed on .
Article history
- Latest version
Reference(s)
- Pal, Gopal Krushna. “Textbook Of Practical Physiology.” 2nd ed., Orient BlackSwan, 2008, isbn: 9788173716348.
- Khurana, Indu. “Textbook Of Medical Physiology.”, Elsevier India, 2005, isbn: 9788181478504.
Cite this page:
- Posted by Dayyal Dungrela